What Is Apical Perfusion Defect

Myocardial perfusion defects and associated systemic ventricular

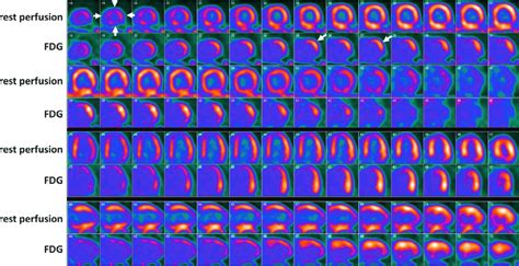
What Is Apical Perfusion Defect. It is usually identified by. Abnormal perfusion study with severe partly reversible distal septal and apical defect, small in size.

Myocardial perfusion defects and associated systemic ventricular
Myocardial perfusion defects and associated systemic ventricular

“perfusion” is the circulation of blood through tissues, notes “taber’s cyclopedic medical dictionary, 19th ed.”. Web myocardial perfusion defects in right ventricular apical pacing are caused by partial volume effects because of wall motion abnormalities: Web fixed apical defect would indicate a loss perfusion to that area.cause can be prior heart attack (scar tissue) or some vessel blockage. Your doctor might recommend an ace inhibitor if you have high blood pressure or diabetes in. A new model to study gated. Web a perfusion defect is a medical term that refers to observations made on magnetic resonance imaging (mri) of the cardiovascular system. Abnormal perfusion study with severe partly reversible distal septal and apical defect, small in size. Web a myocardial perfusion scan uses a tiny amount of a radioactive substance, called a radioactive tracer. However, it needs to be placed in the patients clinical context. It is usually identified by.

However, it needs to be placed in the patients clinical context. John cuong doan answered family. Web a perfusion defect is an small area of the heart with diminished blood flow under stress. This is c/w attenuation artifact 2ry to increase gi uptake? Web fixed apical defect would indicate a loss perfusion to that area.cause can be prior heart attack (scar tissue) or some vessel blockage. A new model to study gated. Web a myocardial perfusion scan uses a tiny amount of a radioactive substance, called a radioactive tracer. Web yes, in general a reversible defect is considered to be ischemic. Web perfusion defects at rest were frequently associated with reduced regional wall thickening and wall motion and reduced right ventricular systolic function. Web these medications help relax blood vessels and lower blood pressure. It is usually identified by.